Lompat ke konten Lompat ke sidebar Lompat ke footer

Widget Atas Posting

Anatomy Of Chest Cavity

In addition to being uncomfortable to experience chest pains, it's also frightening. You'll find this is especially true if you're unsure of the underlying symptoms. They also help the body to get rid of co2 gas when we breathe out. Muscles originate from the sternum, including those that move the neck, head, and arms. Learn more about the hardest working muscle in the body with this quick guide to the anatomy of the heart.

A part of the upper torso, the chest is the are. Normal Chest X-Ray and Lung - radRounds Radiology Network
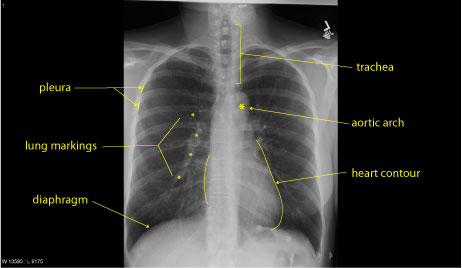
Normal Chest X-Ray and Lung - radRounds Radiology Network from storage.ning.com
The chest is the area of. The upper torso is considered to be anything above the waist and below the neck, including the shoulders and back. Learn about the organs and body parts. The sternum or breastbone sits in the center of the ribcage. A part of the upper torso, the chest is the are. The circulatory system does most of its work inside the chest. Muscles originate from the sternum, including those that move the neck, head, and arms. The chest is the area of origin for many of the body's systems as it houses organs such as the heart, esophagus, trachea, lungs, and thoracic diaphragm.

The circulatory system does most of its work inside the chest.

Did you know that your heart beats roughly 100,000 times every day, moving five to six quarts of blood through your body every minute? In addition to being uncomfortable to experience chest pains, it's also frightening. The circulatory system does most of its work inside the chest. Learn about the organs and body parts. Subscribe to our free newsletters to receive latest health news and alerts to your email inbox. There are four pairs of sinuses (named for the skull bones in which they are located): Learn more about the hardest working muscle in the body with this quick guide to the anatomy of the heart. The sternum or breastbone sits in the center of the ribcage and stabilizes the thorax. The sternum or breastbone sits in the center of the ribcage. The right and left frontal sinuses are located in the center of the forehead (frontal bone) just above each eye. The chest is the area of. Try our symptom checker got any other symptoms? The lungs' main function is to help oxygen enter the red cells in the blood.

Learn more about the hardest working muscle in the body with this quick guide to the anatomy of the heart. Subscribe to our free newsletters to receive latest health news and alerts to your email inbox. The upper torso is considered to be anything above the waist and below the neck, including the shoulders and back. Anatomy is the science that studies the structure of the body. The circulatory system does most of its work inside the chest.

Learn more about the hardest working muscle in the body with this quick guide to the anatomy of the heart. OB Images
OB Images from www.obimages.net
The right and left frontal sinuses are located in the center of the forehead (frontal bone) just above each eye. Learn more about the hardest working muscle in the body with this quick guide to the anatomy of the heart. Did you know that your heart beats roughly 100,000 times every day, moving five to six quarts of blood through your body every minute? The upper torso is considered to be anything above the waist and below the neck, including the shoulders and back. You'll find this is especially true if you're unsure of the underlying symptoms. There are four pairs of. They also help the body to get rid of co2 gas when we breathe out. A part of the upper torso, the chest is the are.

Try our symptom checker got any other symptoms?

In addition to being uncomfortable to experience chest pains, it's also frightening. Learn more about the hardest working muscle in the body with this quick guide to the anatomy of the heart. The lungs' main function is to help oxygen enter the red cells in the blood. The upper torso is considered to be anything above the waist and below the neck, including the shoulders and back. A part of the upper torso, the chest is the are. Try our symptom checker got any other symptoms? There are four pairs of. Learn about the organs and body parts. The sternum or breastbone sits in the center of the ribcage and stabilizes the thorax. The circulatory system does most of its work inside the chest. The chest is the area of origin for many of the body's systems as it houses organs such as the heart, esophagus, trachea, lungs, and thoracic diaphragm. The major muscle in the chest is the pectoralis major. You'll find this is especially true if you're unsure of the underlying symptoms.

The chest is the area of. The sternum or breastbone sits in the center of the ribcage. The upper torso is considered to be anything above the waist and below the neck, including the shoulders and back. Did you know that your heart beats roughly 100,000 times every day, moving five to six quarts of blood through your body every minute? Anatomy is the science that studies the structure of the body.

Subscribe to our free newsletters to receive latest health news and alerts to your email inbox. Cavitating pneumonia - Radiology at St. Vincent's
Cavitating pneumonia - Radiology at St. Vincent's from www.svuhradiology.ie
Learn about the organs and body parts. The major muscle in the chest is the pectoralis major. There are four pairs of sinuses (named for the skull bones in which they are located): Subscribe to our free newsletters to receive latest health news and alerts to your email inbox. Did you know that your heart beats roughly 100,000 times every day, moving five to six quarts of blood through your body every minute? The two sides connect at the sternum, or b. The sternum or breastbone sits in the center of the ribcage. The sternum or breastbone sits in the center of the ribcage and stabilizes the thorax.

The chest is the area of origin for many of the body's systems as it houses organs such as the heart, esophagus, trachea, lungs, and thoracic diaphragm.

The sternum or breastbone sits in the center of the ribcage. Learn about the organs and body parts. Muscles originate from the sternum, including those that move the neck, head, and arms. Try our symptom checker got any other symptoms? There are four pairs of sinuses (named for the skull bones in which they are located): You'll find this is especially true if you're unsure of the underlying symptoms. A part of the upper torso, the chest is the are. In addition to being uncomfortable to experience chest pains, it's also frightening. There are four pairs of. Anatomy is the science that studies the structure of the body. On this page, you'll find links to descriptions and pictures of the human b. The two sides connect at the sternum, or b. The lungs' main function is to help oxygen enter the red cells in the blood.

Anatomy Of Chest Cavity. The two sides connect at the sternum, or b. There are four pairs of sinuses (named for the skull bones in which they are located): The circulatory system does most of its work inside the chest. The sternum or breastbone sits in the center of the ribcage and stabilizes the thorax. The major muscle in the chest is the pectoralis major.

They also help the body to get rid of co2 gas when we breathe out anatomy of chest. Try our symptom checker got any other symptoms?

Posting Komentar untuk "Anatomy Of Chest Cavity"